|
Vincenzo Tosco, 20 Μαρτίου 2025
Η διατήρηση της ζωτικότητας του πολφού αποτελεί θεμελιώδη στόχο στην επανορθωτική οδοντιατρική, ιδιαίτερα σε νεαρούς ασθενείς όπου οι βαθιές τερηδονικές αλλοιώσεις μπορούν να εξελιχθούν ταχύτατα. Σε αυτές τις περιπτώσεις, η έμμεση κάλυψη του πολφού αντιπροσωπεύει μια πολύτιμη προσέγγιση για τη διατήρηση του, αποτρέποντας παράλληλα περαιτέρω αλλοιώσεις του οδοντικού ιστού.
Έτσι η χρήση βιοενεργών υλικών είναι ιδιαίτερα ευεργετική λόγω των αντιβακτηριδιακών τους ιδιοτήτων, της βιοσυμβατότητάς τους και της ικανότητάς τους να προκαλούν επανασβεστίωση της οδοντίνης. Αυτά τα χαρακτηριστικά βοηθούν στη μείωση του μικροβιακού φορτίου, δημιουργούν ένα ευνοϊκό περιβάλλον για την επούλωση του πολφού και ενισχύουν την μακροπρόθεσμη επιτυχία της αποκατάστασης παρέχοντας μια σταθερή διεπαφή μεταξύ του πολφού και του επανορθωτικού υλικού. Η εμφρακτική ικανότητά τους ελαχιστοποιεί περαιτέρω τον κίνδυνο μικροβιακής διείσδυσης, η οποία είναι κρίσιμη για τη διατήρηση της ζωτικότητας του πολφού σε περιπτώσεις εν τω βάθει τερηδονικών αλλοιώσεων.
Αυτή η κλινική περίπτωση αναδεικνύει δύο διαφορετικές εφαρμογές του Biodentine XP στη διαχείριση της βαθιάς τερηδόνας σε έναν νεαρό ασθενή:
Πρώτη εφαρμογή: Στον δεύτερο γομφίο, το Biodentine XP χρησιμοποιήθηκε για την έμμεση κάλυψη του πολφού, ακολουθούμενη αμέσως από αποκατάσταση σύνθετης ρητίνης στην ίδια συνεδρία. Αυτή η προσέγγιση εξασφάλισε μια αποτελεσματική βιολογική έμφραξη, προστατεύοντας τον πολφό και επιτρέποντας την άμεση λειτουργική αποκατάσταση του δοντιού.
Δεύτερη εφαρμογή: Στον τρίτο γομφίο, όπου υπήρχε βαθιά τερηδόνα, τοποθετήθηκε αρχικά το Biodentine XP ως προσωρινό υλικό για την αξιολόγηση της αποτελεσματικότητας της θεραπείας της επικάλυψης του πολφού και την παρακολούθηση της διατήρησης της ζωτικότητας του. Δεδομένης της έκτασης της βλάβης και του υψηλότερου κινδύνου εμπλοκής του πολφού, επιλέχθηκε προσέγγιση δύο σταδίων για να δοθεί επαρκής χρόνος για την αξιολόγηση της βιολογικής απόκρισης πριν από την τελική αποκατάσταση. Κατά τη διάρκεια της δεύτερης συνεδρίας, αφού επιβεβαιώθηκε η ευνοϊκή απόκριση του πολφού και αποκλείστηκε η ανάγκη για ενδοδοντική θεραπεία, το υλικό διατηρήθηκε ως το οριστικό στρώμα επικάλυψης του πολφού, εξασφαλίζοντας μακροπρόθεσμη προστασία πριν από την ολοκλήρωση της τελικής αποκατάστασης.

Εικ. 1: Ασθενής 21 ετών προσήλθε στην κλινική με ευαισθησία στο κρύο στο άνω δεξιό τεταρτημόριο. Η ενδοστοματική κλινική εξέταση αποκάλυψε μια παλιά, αποκατάσταση σύνθετης ρητίνης στον δεύτερο άνω γομφίο με ρωγμές και τερηδόνα στον τρίτο γομφίο. Η ακτινογραφία επιβεβαίωσε μια βαθιά τερηδονική αλλοίωση στον τρίτο γομφίο και την παρουσία μιας κατεστραμμένης αποκατάστασης σύνθετης ρητίνης στον δεύτερο γομφίο.

Εικ. 2: Η σωστή εφαρμογή του ελαστικού απομονωτήρα και η εξακρίβωση της πλήρους απομόνωσης είναι απαραίτητες πριν από τη διάνοιξη της κοιλότητας για την αποφυγή περαιτέρω μόλυνσης, ιδιαίτερα σε περιπτώσεις άμεσης ή έμμεσης επικάλυψης του πολφού.

Εικ. 3: Μετά την αφαίρεση της προηγούμενης αποκατάστασης σύνθετης ρητίνης και τον καθαρισμό της τερηδονισμένης αλλοίωσης στον τρίτο γομφίο, παρατηρήθηκε μια βαθιά κοιλότητα κοντά στον πολφό. Και στις δύο περιπτώσεις, αποφασίστηκε η εφαρμογή του Biodentine XP χρησιμοποιώντας μια τεχνική biobulk-fill για την έμμεση κάλυψη του πολφού, με σκοπό την αποκατάστασης της οδοντίνης, την παροχή ενός προστατευτικού φραγμού και τη διατήρηση της ζωτικότητας του δοντιού.

Εικ. 4: Αφού οι κοιλότητες είχαν προετοιμαστεί και καθαριστεί, το Biodentine XP εφαρμόστηκε απευθείας στην βαθύτερη περιοχή της κοιλότητας.

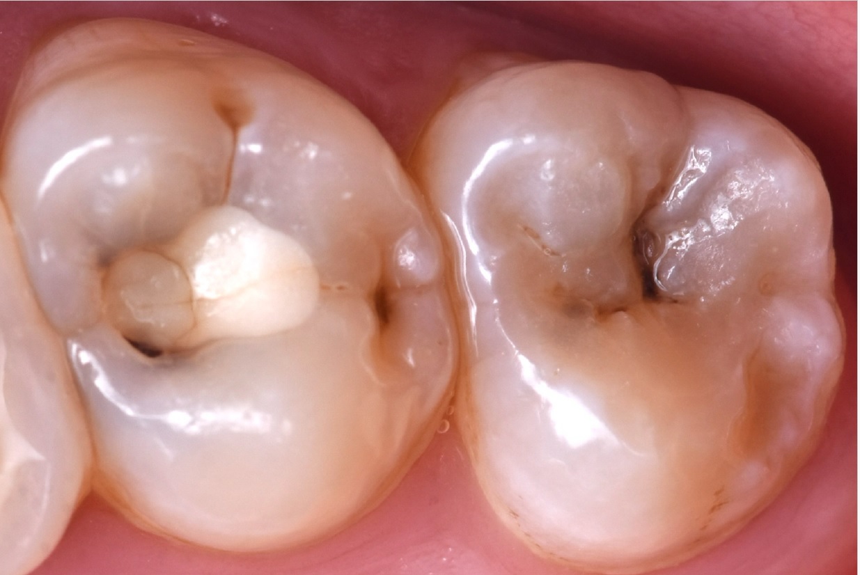
Εικ. 5: Μια κοιλότητα Ομάδος Ι είναι πιο επιθετική στην αφαίρεση όλου του κατεστραμμένου ιστού σε σύγκριση με μια κοιλότητα Ομάδος II και μπορεί να προκαλέσει μεγαλύτερη ευαισθησία. Για να αξιολογηθεί η διατήρηση της ζωτικότητας του πολφού στον τρίτο γομφίο, ο οποίος ήταν ο πιο επηρεασμένος, εφαρμόστηκε το Biodentine XP χρησιμοποιώντας μια τεχνική biobulk-fill, γεμίζοντας πλήρως την κοιλότητα μέχρι την μασητική επιφάνεια ως προσωρινή αποκατάσταση. Αυτή η προσέγγιση επιτρέπει την αναβολή της οριστικής αποκατάστασης, διασφαλίζοντας παράλληλα την σωστή έμφραξη της κοιλότητας για την αποφυγή επιμόλυνσης. Επιπλέον, επιτρέπει την αξιολόγηση της διατήρησης της ζωτικότητας του πολφού και καθορίζει αν απαιτείται ενδοδοντική θεραπεία αν τελικά δεν διατηρηθεί η ζωτικότητα.
Αντίθετα, για τον δεύτερο γομφίο, η ολοκλήρωση της αποκατάστασης Ομάδος II ήταν προτεραιότητα. Έτσι, τοποθετήθηκε το Biodentine XP, αφέθηκε να πήξει και στη συνέχεια καλύφθηκε με σύνθετη ρητίνη για να επιτευχθεί η τελική αποκατάσταση.

Εικ. 6: Μόλις έπηξε το υλικό, η αδαμαντίνη αδροποιήθηκε επιλεκτικά με ορθοφωσφορικό οξύ για 20 δευτερόλεπτα.

Εικ. 7: Η εικόνα δείχνει την τυπική εμφάνιση μιας σωστά αδροποιημένης αδαμαντίνης. Επιπλέον, είναι δυνατό να παρατηρηθεί ότι κατά τη φάση έκπλυσης με οξύ, το σκληρό πια Biodentine XP δεν διαλύθηκε και παρέμεινε άθικτο. Στη συνέχεια, εφαρμόστηκαν δύο στρώσεις ενός συγκολλητικού παράγοντα επόμενης γενιάς (3M™ Scotchbond™ Universal Plus Adhesive, Solventum) σε ολόκληρη την επιφάνεια της κοιλότητας. Μετά το απαλό φύσημα με αέρα, ο συγκολλητικός παράγοντας φωτοπολυμερίστηκε.

Εικ. 8: Το εγγύς τοίχωμα ανακατασκευάστηκε χρησιμοποιώντας σύνθετη ρητίνη πλήρωσης (3M™ Filtek™ One Bulk Fill Restorative, Solventum), ακολουθούμενο από την εφαρμογή ενός λεπτού στρώματος λεπτόρρευστης ρητίνης πλήρωσης (3M™ Filtek™ Bulk Fill Flowable Restorative, Solventum) στο έδαφος της κοιλότητας. Η αποκατάσταση ολοκληρώθηκε στη συνέχεια χρησιμοποιώντας την ίδια σύνθετη ρητίνη μαζικής πλήρωσης με αυτό που χρησιμοποιήθηκε για το εγγύς τοίχωμα.

Εικ. 9: Το τελικό αποτέλεσμα της αποκατάστασης Ομάδος II στον δεύτερο γομφίο μετά τη χρήση της τεχνικής Essential Lines για τη διαμόρφωση της μορφολογίας του μασητικού επιπέδου.

Εικ. 10: Το τελικό αποτέλεσμα αμέσως μετά την αφαίρεση του ελαστικού απομονωτήρα. Στη συνέχεια, ελέγχθηκε η σύγκλειση και η αποκατάσταση σύνθετης ρητίνης στιλβώθηκε.

Εικ. 11: Ο ασθενής επέστρεψε μετά από ένα μήνα για να ολοκληρώσει την αποκατάσταση. Η ευαισθησία στο κρύο είχε εξαφανιστεί και τα δύο δόντια ανταποκρίθηκαν θετικά στο τεστ ζωτικότητας. Γι αυτό πραγματοποιήθηκε άμεση αποκατάσταση σύνθετης ρητίνης στον τρίτο γομφίο.

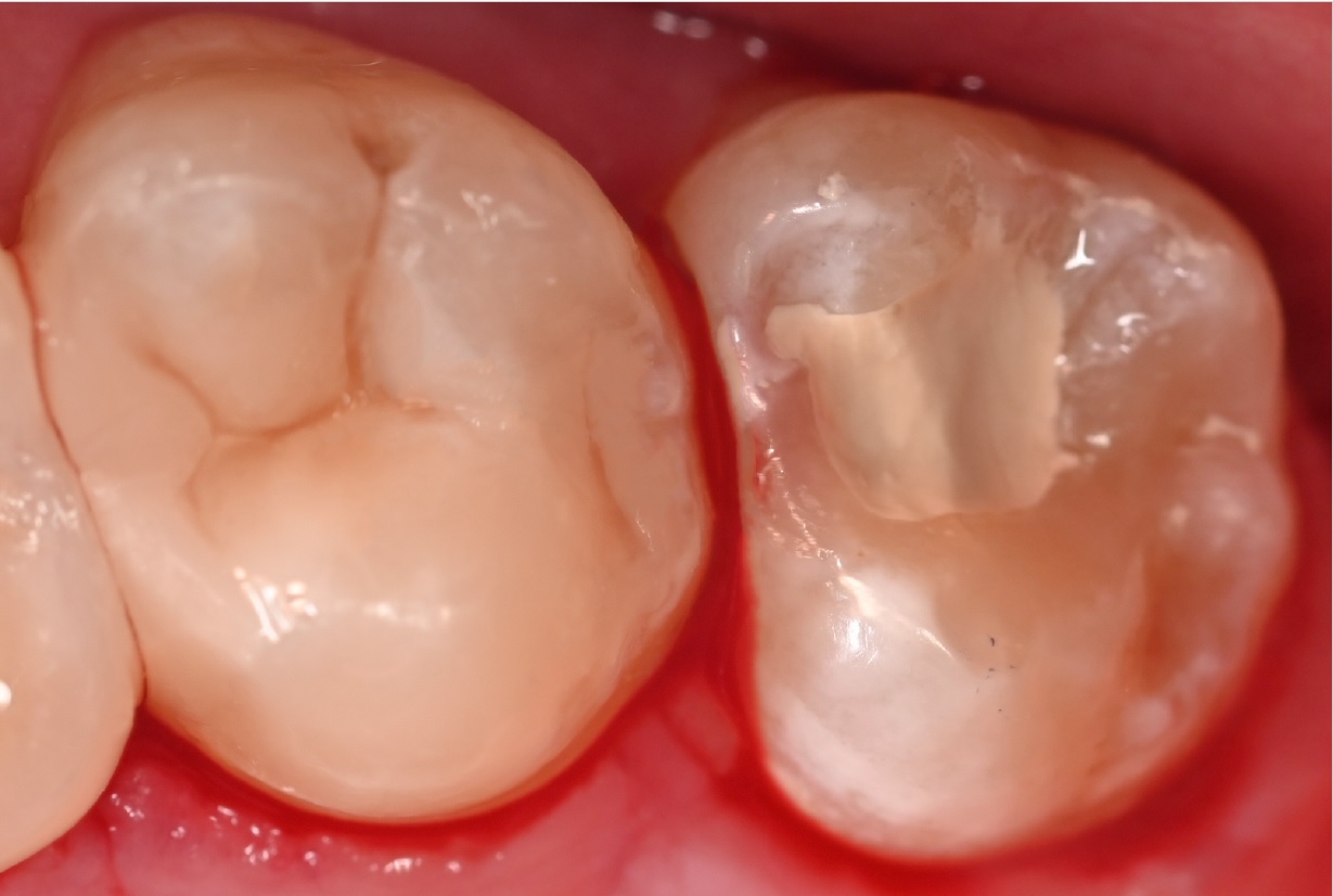
Εικ. 12: Μια κοιλότητα Ομάδος Ι παρασκευάστηκε με μερική αφαίρεση του Biodentine XP, αφήνοντάς το μόνο στο βαθύτερο σημείο της κοιλότητας. Η πλήρης αφαίρεση δεν ήταν απαραίτητη, καθώς το βιοενεργό υλικό χρησιμοποιήθηκε ως υλικό πλήρωσης. Είναι σημαντικό να αφήσετε τουλάχιστον 2 mm χώρου από την επιφάνεια σύγκλεισης για να επιτευχθεί καλύτερο αισθητικό αποτέλεσμα με την αποκατάσταση από σύνθετη ρητίνη.

Εικ. 13: Η αδαμαντίνη αδροποιήθηκε επιλεκτικά με ορθοφωσφορικό οξύ για 20 δευτερόλεπτα.

Εικ. 14: Εφαρμογή του συγκολλητικού συστήματος 3M™ Scotchbond™ Universal Plus (Solventum)

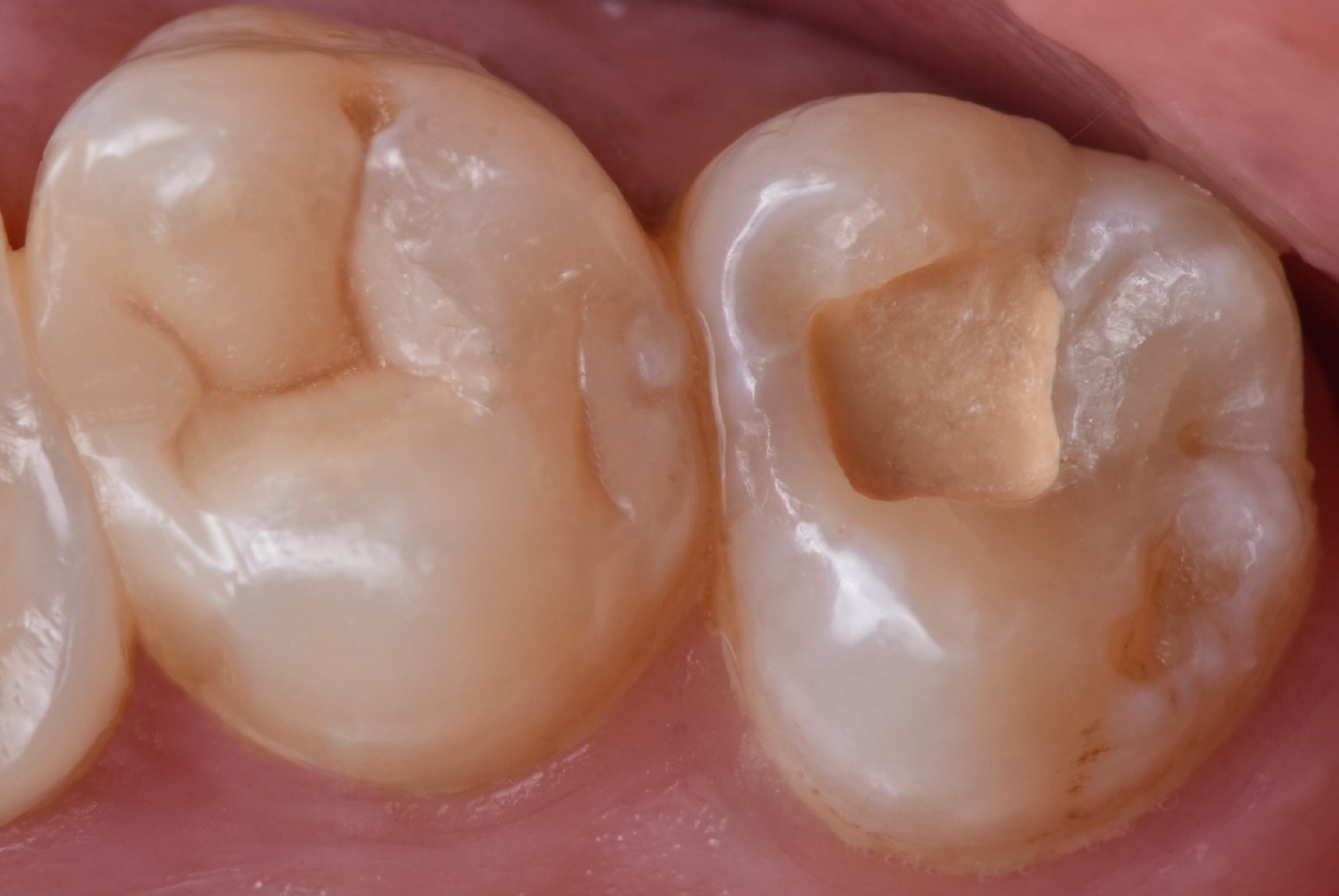
Εικ. 15: Η σύνθετη ρητίνη 3M™ Filtek™ Easy Match Shade N (Solventum) εφαρμόστηκε για την ενίσχυση του αισθητικού αποτελέσματος. Δεδομένου ότι είναι λιγότερο ημιδιαφανής από μια απόχρωση αδαμαντίνης, καλύπτει αποτελεσματικά το Biodentine XP, ενσωματώνοντας την αποκατάσταση με το φυσικό δόντι. Τέλος, όπως και με τον δεύτερο γομφίο, σχεδιάστηκαν οι απαραίτητες γραμμές για την αναπαραγωγή της μορφολογίας της μασητικής επιφάνειας με χρώση για να προστεθεί βάθος και μια πιο φυσική, τρισδιάστατη εμφάνιση της αποκατάστασης.

Εικ. 16: Τελική εικόνα μετά την αφαίρεση του ελαστικού απομονωτήρα και την τελείωση και στίλβωση της αποκατάστασης.

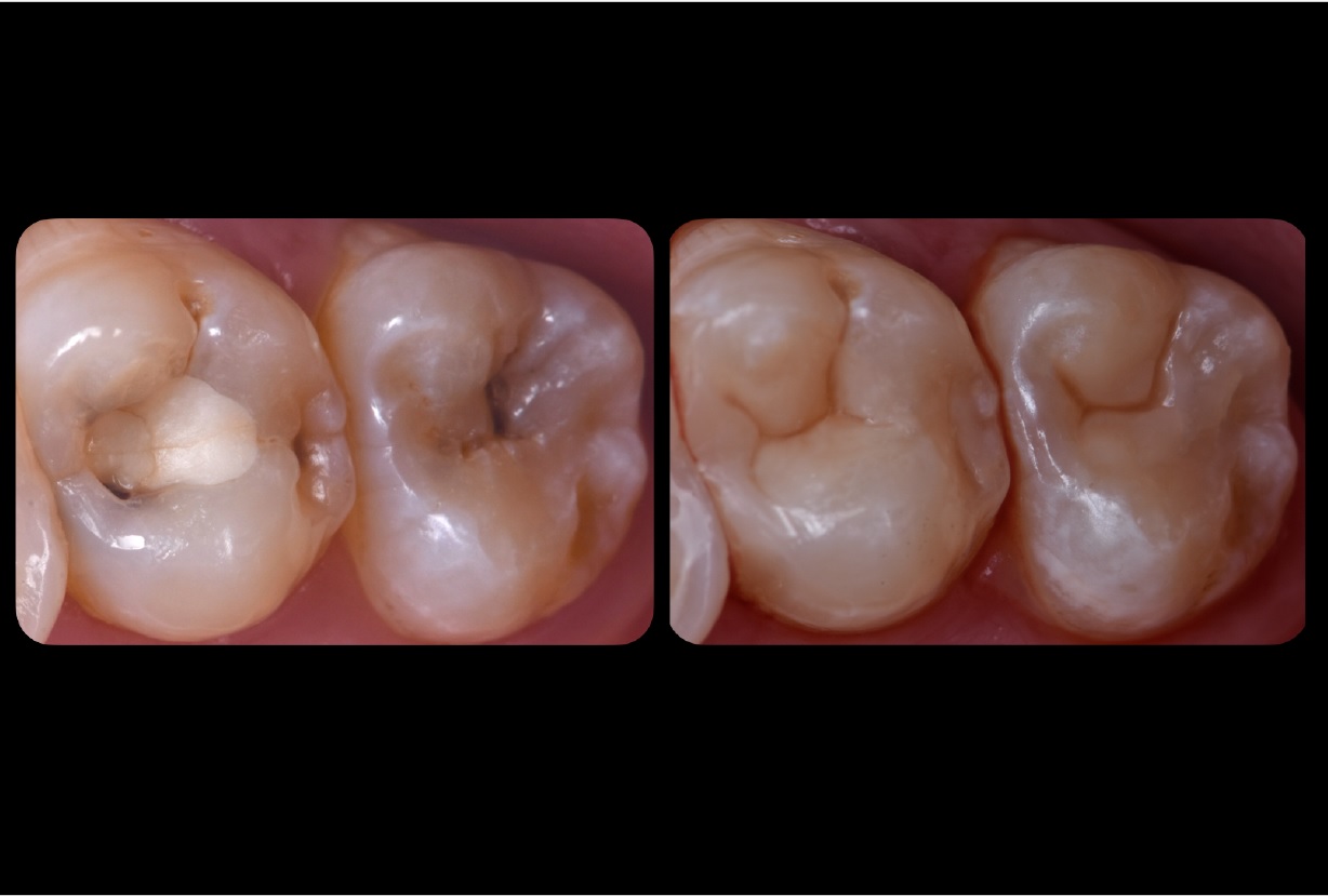
Εικ. 17: Η αρχική κατάσταση και το τελικό αποτέλεσμα και των δύο αποκαταστάσεων

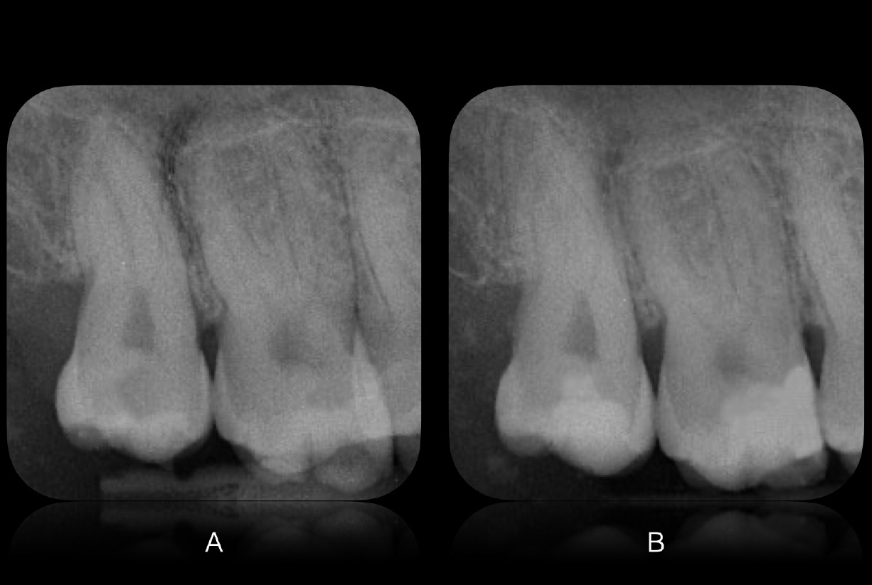
Εικ. 18: Ακτινογραφική αξιολόγηση: (Α) Πριν την αποκατάσταση, (Β) Μετά από επανέλεγχο τριών μηνών.
Συμπεράσματα
Το Biodentine XP, ένα βιοενεργό υποκατάστατο της οδοντίνης, προσφέρει μια ευέλικτη και αποτελεσματική λύση για τη διαχείριση βαθιών τερηδονικών αλλοιώσεων, διατηρώντας παράλληλα τη ζωτικότητα του πολφού. Ο χημικός δεσμός του με την οδοντίνη, σε συνδυασμό με τις βιοδραστικές και αντιμικροβιακές του ιδιότητες, το καθιστά ιδιαίτερα χρήσιμο τόσο για την άμεση όσο και για την έμμεση κάλυψη του πολφού. Επιπλέον, η ικανότητά του να χρησιμεύει ως προσωρινή αποκατάσταση για και ως έξι μήνες παρέχει ευελιξία στην καθημερινή κλινική πράξη. Μόλις πήξει πλήρως, το Biodentine XP μπορεί να ενσωματωθεί στην τελική αποκατάσταση, εξαλείφοντας την ανάγκη αφαίρεσής του και χρησιμεύοντας ως σταθερό υλικό πλήρωσης για άμεσες αποκαταστάσεις. Αυτά τα χαρακτηριστικά το καθιστούν μια αξιόπιστη και αποτελεσματική επιλογή σε αποκαταστάσεις που στοχεύουν στη μακροπρόθεσμη διατήρηση του πολφού και την ενίσχυση του οδοντικού ιστού.
Βιβλιογραφία
1. Hardan L, Mancino D, Bourgi R, Alvarado-Orozco A, Rodrνguez-Vilchis LE, Flores-Ledesma A, Cuevas-Suαrez CE, Lukomska-Szymanska M, Eid A, Danhache ML, et al. Bond Strength of Adhesive Systems to Calcium Silicate-Based Materials: A Systematic Review and Meta-Analysis of In Vitro Studies. Gels2022,8,311.
2. About I. Biodentine: from biochemical and bioactive properties to clinical applications. Giornale Italiano di Endodonzia, 2016;30(2):81-88.
3. Falakaloπlu S, Yeniηeri Φzata M, Plotino G. Micro-shear bond strength of different calcium silicate materials to bulk-fill composite. PeerJ. 2023 Mar 29;11:e15183.
ImageVincenzo Tosco
Ο Dr Tosco αποφοίτησε από την Οδοντιατρική Σχολή του Πανεπιστημίου Alfonso X el Sabio στη Μαδρίτη της Ισπανίας. Απέκτησε το διδακτορικό του στις Βιοϊατρικές Επιστήμες από το Πολυτεχνικό Πανεπιστήμιο Marche στην Ανκόνα της Ιταλίας. Σήμερα είναι ερευνητής στο ίδιο Πανεπιστήμιο υπό την επίβλεψη των καθηγητών Angelo Putignano και Giovanna Orsini. Δραστηριοποιείται κυρίως στην Ενδοδοντία, την Επανορθωτική και την Αισθητική Οδοντιατρική. Είναι συγγραφέας και συν-συγγραφέας σε πάνω από 29 επιστημονικά άρθρα σε επιστημονικά περιοδικά. Είναι ομιλητής σε εθνικά και διεθνή συνέδρια στην Ενδοδοντία, την Επανορθωτική Οδοντιατρική και τα Οδοντιατρικά Υλικά.
|